All News
Physical Therapy Has Modest Effects on Acute Low Back Pain
A new JAMA study shows new onset back pain treated with physical therapy yields modest short-term (3 months) improvement.
Read ArticlePrescription Opioid Use Falls While Abuse Rises
From 2003 to 2013, the percentage of nonmedical use of prescription opioids decreased among adults in the U.S., while the prevalence of prescription opioid use disorders, frequency of use, and related deaths increased, according to a study in the October 13 issue of JAMA.
Read ArticleDiet, Exercise and Glucosamine Fail to Prevent Knee Osteoarthritis
Primary prevention of osteoarthritis is an ideal goal for which there has been little success in clinical trials.
Read ArticleInfertility in Rheumatoid Arthritis Linked to Disease Activity
Women with rheumatoid arthritis are said to have a normal number of pregnancies. However, most of these are conceived prior to the onset of RA. Once diagnosed, the RA patient who wishes to become pregnant may be faced with difficult medication choices if she is planning to become pregnant.
Read ArticleGenetic Basis for Pediatric Autoimmune Diseases
Researchers at CHOP have published their investigations into the heritability of pediatric autoimmune diseases that affects roughly one in 12 persons.
Read ArticleVisceral and Liver Fat Linked With Men's High Urate
Both visceral and liver fat accumulation significantly increased the risk of hyperuricemia in men, a cross-sectional Japanese study found.
Read ArticleIncreased Risk of Shingles with Inflammatory Myositis
A study from the Taiwan National Health Insurance examined 2023 patients with new diagnoses of dermatomyositis or polymyositis and population controls and examined the frequency of Herpes zoster.
Read ArticleCircadian Efficacy with Cathepsin K Inhibitor ONO-5334
Osteoporosis is associated with significant morbidity, and hip fractures as sequelae confer a 1-year mortality risk of 8.4–36%.
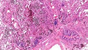
Read ArticleIs DLCO Predictive in Rheumatoid Interstitial Lung Disease?
Interstitial lung disease (ILD) is a common extra-articular manifestation of rheumatoid arthritis (RA). Its presence may portend grave outcomes for those affected. The prevalence of ILD in RA ranges from 7.7% to 44% depending on the assessment tools used.
Read ArticleOptimizing Treat-to-Target in RA
Treat-to-target is a common management strategy for rheumatoid arthritis that aims to employ the strategy most effective in terms of achievement of optimal therapeutic outcomes in RA.
Read ArticleHealthcare Consumer Engagement Increasing
Deloitte published its 2015 Healthcare Consumer Survey to examine online resource and technology use by patients. This is important, as the health care industry has expanded the development of online information resources, mobile applications, and personal health devices.
Read ArticleHip Fractures Increased in Rheumatoid Arthritis
An analysis of 741,589 patients over age 45 years from southern Swedish registry examined patients who were followed (between 1998 and 2012) until a hip fracture, death or exit from the region occurred.
Read ArticleLupus Foundation of America Announces 2015 Award Recipients
Healio reported the newly announced grant recipients from the Lupus Foundation of America.
Read ArticleDiffuse Alveolar Hemorrhage in Lupus Reviewed
Diffuse alveolar hemorrhage (DAH) is a rare but catastrophic complication of systemic lupus erythematosus. Presentations are usually acute and the potential for significant morbidity and mortality risk mandates early diagnosis and aggressive interventions.
Read ArticleAngiogenic Biomarkers Predict Adverse Outcomes Pregnancies in Lupus
The PROMISSE (Predictors of Pregnancy Outcome: Biomarkers in Antiphospholipid Antibody Syndrome and Systemic Lupus Erythematosus) study has revealed several important lessons in lupus care.
Read ArticlePhysicians Bash Meaningful Use at Open Forum
Members of two professional medical societies griped about what they view as the Obama administration's inept attempts to regulate electronic health records (EHRs) and shared their visions for the ideal online platform at a second "town hall" meeting here Tuesday.
Read ArticleStrange ICD-10 Codes
The range of categories and diagnostic possibilities is astronomical with the new ICD-10 and its 68,000 codes.
Read ArticleBrodalumab vs. Ustekinumab: Head-to-Head Studies of Psoriasis
AMAGINE-2 and AMAGINE-3 are in two phase 3 studies that compare multiple doses of brodalumab (anti-IL-17) and ustekinumab (anti-12/23) in adults with moderate-to-severe psoriasis.
Read ArticleUstekinumab Effective in Adolescents with Psoriasis
Biologic and new drug development seldom targets children and adolescents. This study evaluated the efficacy and safety of ustekinumab in adolescents age 12 to 17 years with moderate-to-severe psoriasis,
Read ArticleSecukinumab Wins in Psoriatic Arthritis
Mease and colleagues have published their results of a phase 3 trial of secukinumab (anti-IL-17A Mab) in 606 patients with psoriatic arthritis (PsA).
Read Article


