All News
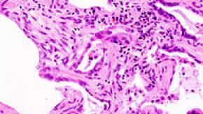
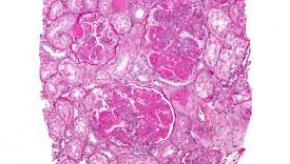
IV Cyclophosphamide Equal to Mycophenolate in Lupus Nephritis
A comparison of mycophenolate mofetil (MMF) and low-dose cyclophosphamide IV (CYC) in the treatment of lupus nephritis (LN) was examined in 173 patients with class III, IV, or V LN.
Read ArticleIncreasing Placebo Responses in the USA
A recent analysis of randomized clincal trials (RCT) for the treatment of neuropathic pain has shown in increase in placebo responses. (Citation source http://buff.ly/1LL8yAi)
Read ArticleMMP-3 Levels Predict Radiographic Progression in RA
Continuously elevated serum matrix metalloproteinase-3 (MMP-3) for 3-6 months predicted 1-year radiographic progression in rheumatoid arthritis (RA), according to a small prospective cohort study in Arthritis Researc
Read ArticleU.S. Pays 10 Times More for Prescription Drugs than Other Countries
Prescription drugs may cost up to 10 times more in the United States than they do in other countries, according to a 2013 Comparative Price Report was released last month by the International Federation of Health Plans (IFHP).
Read ArticleAdalimumab Induction in Early RA Yields Erosive Benefits in the OPERA Study
A number of studies have shown that the treat-to-target approach is effective in achieving clinical remission - the ultimate therapeutic goal in patients with early RA.
Read ArticleFDA Reviews the Safety of Lesinurad in Gout
Lesinurad is a novel URAT-1 inhibitor being developed as a urate-lowering therapy for gout by Astra-Zeneca.
Read ArticleWeight Loss Improves Skin Outcomes in Psoriasis
A recent presentation at the European Academy of Dermatology and Venereology (EADV) meeting in Copenhagen showed the long-term outcomes of weight loss in psoriasis.
Read ArticleSleep Apnea Increases Risk of Gout
Zhang and colleagues from Boston analyzed patients with physician diagnosed sleep apnea from The Health Improvement Network in the UK and compared these with 5 controls (age, sex, BMI matched). They studied 9,865 patients with sleep apnea and 43,598 controls.
Read ArticleInitiation of Urate-Lowering Therapy During Gout Attacks
A retrospective analysis examined whether it's better to initiate urate-lowering therapy (ULT) during or after an attack of acute gout.
Read ArticleBronchiectasis Contributes to Activity and Seropositivity in Rheumatoid Arthritis
UK investigators have shown that rheumatoid arthritis patients with bronchiectasis (BRRA) have a five-fold increased mortality compared to RA without bronchiectasis. It is unclear if serologic differences, activity measures and biomarkers may be different in this cohort.
Read ArticleRespiratory and Cardiovascular Mortality Higher in RA Women
Using data from the Nurses' Health Study (NHS), Sparks and colleagues analyzed 119,209 women beginning in 1976. The identified 964 incident RA cases and 28,808 deaths during 36 years of prospective follow-up.
Read ArticleToxoplasma Infections in the Immunosuppressed
In the USA, toxoplasmosis is the second leading cause of foodborne illness–related death and hospitalization, with >300 deaths and 4000 hospitalizations each year [2]; 4800 people develop visual loss yearly secondary to the parasite.
Read ArticlePlaquenil Benefits Pregnant Women with Anti-Phospholipid Syndrome
Healio.com reports that pregnant women with APL antibodies and who took Plaquenil (HCQ or hydroxychloroquine) had better pregnancy outcomes than those who did not.
Read ArticleAntibody Predicts Lung Disease in Myositis
Patients in the U.S. with myositis who are positive for the anti-MDA5 autoantibody are at high risk for developing interstitial lung disease (ILD), a retrospective study found.
Read ArticleFDA Holds Off on Xeljanz Approval for Psoriasis
The FDA has denied Pfizer's application seeking an indication for Xeljanz in patients with moderate to severe chronic plaque psoriasis.
Read ArticleDietary Supplements Send 23,000 to the ER Annually
The CDC has reported in the NEJM that dietary supplements may be associated with higher than expected rates of adverse events requiring medical evaluation in the emergency department (ED).
Read ArticleDecline in Physician Scientists Ahead
The Journal of Clinical Investigation reports a potential decline in the number of medical researchers in the future.
Read ArticleHydroxychloroquine Retinal Toxicity Reviewed
Hydroxychloroquine (HCQ or Plaquenil) retinopathy is rare, but still a major concern among patients and prescribers.
Read ArticleDSB Reports and Updates - October 2015
This month's DSB addresses labeling changes as well as safety reports from literature, including steps to prevent major birth defects, timing and intervals between PCV13 and PPSV23 vaccines, PPIs and subacute cutaneous lupus, and FDA warnings on tramadol in children.
Read ArticleICD-10 Headlines
Nearly 2 weeks have passed since the painful launch of ICD-10 in US medical practices.
Read Article


