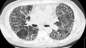
ILD and ANCA: What to do?
Several cohort studies conducted in Asia, Europe and the Americas have evaluated the clinical significance of antineutrophil cytoplasmic antibodies (ANCA) when detected in patients with interstitial lung disease (ILD) as well as the types of ILD encountered in patients with microsc
Read Article


