All News
FDA Approves Vagal Nerve Stimulator for RA
SetPoint Medical announced that the FDA has approved the company’s SetPoint System, a first-in-class neuroimmune modulation innovation for treatment of moderate-to-severe rheumatoid arthritis (RA) for those who are not adequately managed by—or cannot tolerate—existing advanced RA therapies, such as biological and targeted synthetic DMARDs.
Read ArticleOptions for Refractory axSpA or PsA
Although most patients with axial spondyloarthritis (axSpA) or psoriatic arthritis (PsA) didn't respond adequately to the interleukin-17 (IL-17) inhibitor ixekizumab (Taltz), enough did that it should still be considered in such cases, a Danish registry study indicated.
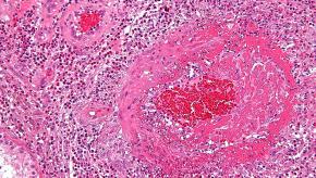
Read ArticleRituximab is not Superior in EGPA
A cohort study of Eosinophilic Granulomatosis With Polyangiitis (EGPA) patients from the French Vasculitis Study Group failed to show superiority of rituximab compared to conventional strategy with glucocorticoids (GS) alone or in combination with cyclophosphamide.
Read ArticleRheumatology Salaries Remain Low
The annual Medscape Physician Compensation report was published and shows only modest salary gains for most specialists.
Read Article
Links:
Dr. John Cush RheumNow ( View Tweet)
Dr. John Cush RheumNow ( View Tweet)


