All News
Might Synovial Biopsy Predict Rheumatoid Treatment Responses?
d
EurekAlert!
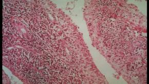
Multi-modal analysis of rheumatoid arthritis (RA) synovitis pathotypes enables more accurate choices of first line cDMARDs treatment, suggesting a predictive value to synovial biopsy.
Read Article
What is better in #PsA
#psoriatic #arthritis
#TNFi or #apremilast #PDE4i
#COREVITAS database study in #PsA
YOU can guess the answer!
1st line advanced RxTNFi lasts longer - retention
Vs PDE4i
#EULAR2024 @RheumNow @eular_org
POS0990 https://t.co/VmYG6Rj87c
Janet Pope Janetbirdope ( View Tweet)
Cycle or Swap? The swap strategy (SG) (i.e. from TNFi to IL17i) had higher retention rates compared to the change strategy (CG) choice in PsA patients who failed the first line of advanced treatment. The 5 years retention rate in SG was higher than in CG (57,8% vs 45,2%; p=0.1).… https://t.co/pH5rFI00vK https://t.co/XqTHO1tIr3
Links:
Dr. Antoni Chan synovialjoints ( View Tweet)
Discovery in joint and skin disease - PsA
Three different clusters #EULAR2024 @RheumNow https://t.co/Nj5HZOVqas
Bella Mehta bella_mehta ( View Tweet)
Predicting who will develop
▶️#GCA
In #Swedish study with
#PMR
⬆️ in HIGH ESR/CRP
⬆️female
⬇️ if hip pain/stiffness
Not all sig 1 mo after #prednisone started
Only 9% with #polymyalgia #rheumatica developed #GCA
? ⬇️GCA % in PMR over time
#POS0411 @eular_org @RheumNow https://t.co/UMhxlYd0Pv
Janet Pope Janetbirdope ( View Tweet)
EULAR 2024 Highlights: Friday’s Recap with RheumNow https://t.co/r46kiGalBh
Links:
Dr. John Cush RheumNow ( View Tweet)
RheumNow’s expanded coverage of the #EULAR2024 annual meeting is sponsored in part by Bristol Myers Squibb and UCB. All content is chosen by RheumNow & our faculty.
Dr. John Cush RheumNow ( View Tweet)
The art of talking about risks with our patients
https://t.co/V0JQ1EsbKc https://t.co/GSTbPu0EXZ
Dr. John Cush RheumNow ( View Tweet)
The age old question in #inflammatory #arthritis
Should you cycle within TNFi class or move on to another MOA in
#PsA #psoriatic #arthritis
Better retention to go to a IL17i vs another TNFi in observational study comparing the 2
POS0266
#EULAR2024 @RheumNow @eular_org https://t.co/CXcmYAG4m9
Links:
Janet Pope Janetbirdope ( View Tweet)
Can you predict which pts with
#PsA
#psoriatic #arthritis
Will respond to #TNFi #Rx?
Well, 🤔 maybe
Needs validation and an easy reliable inexpensive biomarker!
#EULAR2024 @RheumNow @eular_org
POS0992 https://t.co/Ce92561AMO
Links:
Janet Pope Janetbirdope ( View Tweet)
Another option for Knee Oa management? Wearable transcutaneous nerve stimulation (W-TENS) reduces the need for surgery. #EULAR2024 @rheumnow abst#POS1072 https://t.co/flcfrCrY2X
Bella Mehta bella_mehta ( View Tweet)
Look out for multimorbidity in rheumatoid arthritis. McInnes I #EULAR2024 @RheumNow https://t.co/kgshkNcyLn
Dr. Antoni Chan synovialjoints ( View Tweet)
#EULAR2024 Please find our Day 1 & Day 2 Recap of selective abstracts/research presented at the conference 😃@RheumNow @DrMiniDey
https://t.co/AHl18gS7gF https://t.co/LEoa9rBNly
Links:
Md Yuzaiful Md Yusof Yuz6Yusof ( View Tweet)
#EULAR2024 OP0295 Approriate patient stratification matters in trials. H2H RCT of Tocilizumab vs Rituximab in refractory #SSc-ILD (failed CyC), stratified based on RNA-seq of lungs biopsy showed improved efficacy in TCZ with low B-cell lineage expression signature @RheumNow https://t.co/7ME3Bd2PeM
Links:
Md Yuzaiful Md Yusof Yuz6Yusof ( View Tweet)
Infrapatellar fat pad morphology- mainly volume on MRI associated progostication in knee #OA - structural changes!
using OAI data #EULAR2024 abst#OP0292 @rheumnow
Bella Mehta bella_mehta ( View Tweet)
OP0162 looks at mortality in 21277 seropositive and seronegative #RA
5-year mortality risk in both groups decreased over time but is higher in seropositive vs negative
Sex-specific analysis reveals serological status in women did not affect mortality risk
@RheumNow #EULAR2024
Mrinalini Dey DrMiniDey ( View Tweet)
#EULAR2024 OP0288 Patients with Scleroderma shouldn’t be excluded from Lung Transplantation because of a concern with post-surgery complications/long term complications. Data from Italy of N=13 pts showed 93% survival, improved disesase activity & FVC over 2 years @RheumNow https://t.co/zPFB1MFxdc
Md Yuzaiful Md Yusof Yuz6Yusof ( View Tweet)
➡️OP0127- Can we predict who will get persistently active disease in people with palindromic rheumatism (PR)?
📊Cohort of 161 PR
❗️Predictive factors: Female gender, CCP, RF, >40yo, smoking & interval between flares of <1m ➡️ may be used to risk stratify
@RheumNow #EULAR2024
Mrinalini Dey DrMiniDey ( View Tweet)
beautiful work Univ of Qld - rat SpA model bacterial dna into entheses blocked by 23i not 17i @RheumNow #EULAR2024 https://t.co/X9hzkA56d0
Peter Nash drpnash ( View Tweet)
Différent stages of RA with disease progression. McInnes M #EULAR2024 @RheumNow https://t.co/iKpggGYU0k
Dr. Antoni Chan synovialjoints ( View Tweet)


