All News
Location, Location, Location (7.26.2024)
Dr. Jack Cush reviews the news and journal reports from the past week on RheumNow.com. Location matters; Geo-rheumatology?
Read ArticlePEXIVAS: Diffuse Alveolar Hemorrhage in ANCA-Associated Vasculitis Patients
A secondary analysis of the PEXIVAS study showed antineutrophil cytoplasmic antibody–associated vasculitis (AAV) patients complicated by diffuse alveolar hemorrhage (DAH) may have improved with plasma exchange and glucocorticoids, the results did not achieve significance.
Read Article
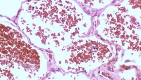
Biologics Prevent AA amyloidosis progression to ESRD
The study suggests that biologic drugs can prevent serious complications of rheumatologic and autoimmune diseases, with some products showing greater effectiveness than others.
https://t.co/dq5NRrsExv https://t.co/8h1g7LHdCU
Dr. John Cush RheumNow ( View Tweet)
Earlier RA Diagnosis Leads to Lower Costs of Care
A study from the Leiden Early Arthritis Clinic shows that is RA is diagnosed within 12 weeks after symptom onset, treatment costs were lower in both autoantibody-negative and autoantibody-positive RA.
https://t.co/0vI4EWfBfA https://t.co/E5q3LpxC24
Dr. John Cush RheumNow ( View Tweet)
Whats it like to be a Rheum? AMA shadows 11 yr rheumatologist Dr. Amish Dave - typical day, challenging aspects, burnout, lifestyle, skills, insights and med student advice - Thanks Dr. Dave!! https://t.co/AIfWwb4HpG https://t.co/EvFVAeqWfK
Dr. John Cush RheumNow ( View Tweet)
3 yr German laboratory study of 71,597 laboratory tests, found 238 positive tests for 13 myositis autoAbs in 209 patients. Pos. results due to Idiopathic inflammatory myopathy in 37(18%), other inflammatory rheum Dz 90 (43%) or NO Rheum Dx 82 (39%) https://t.co/1cQ4LmPEhL https://t.co/1UjuIMdF0M
Dr. John Cush RheumNow ( View Tweet)
JAK Inhibitors Reduce Macular Degeneration
Insurance claims data showed that patients with autoimmune disorders who took JAK inhibitors had lower rates of AMD, hinting that the drugs might treat the common eye disease.
https://t.co/MuJpbGPqe8 https://t.co/hcp4W3wP8a
Dr. John Cush RheumNow ( View Tweet)
Systemic Lupus Erythematosus and Lung Involvement: A Comprehensive Review
⏩8 types of pleuropulmonary involvement
⏩Diagnosis: CT ,PFT, bronchoalveolar lavage, biopsy, PET.
⏩Exclude infections
⏩High mortality: DAH
https://t.co/jRuW0sFbmw https://t.co/BruY1jwMFl
Links:
Autoinmunes Medicina Interna Parc Taulí autoinMI_tauli ( View Tweet)
Most read at Annals: Pharmacologic Treatment of Primary #Osteoporosis or Low Bone Mass to Prevent Fractures in Adults: A Living Clinical Guideline From @ACPIMPhysicians
https://t.co/wMg63aG4rB https://t.co/ZDKdHkH0fh
Links:
Annals of Int Med AnnalsofIM ( View Tweet)
NEW VIEWPOINT—Arthritis complicating inflammatory bowel disease—the future is now https://t.co/FyojGF6Pvx @DrLauraCoates #GITwitter https://t.co/kMewGTDQTc
Links:
The Lancet Rheumatology TheLancetRheum ( View Tweet)
We don't need to debate whether it's better to be a generalist or a specialist. The world needs both.
Specialists excel at zooming in. They see the details to deepen our knowledge.
Generalists excel at zooming out. They see around corners to broaden our view. https://t.co/muATPY2vUL
Adam Grant AdamMGrant ( View Tweet)
Digital Self Screening for Arthritis Diagnosis
A new study evaluates patient use of a mobile AI–based symptom checker for diagnoses, but demonstrated only modest accuracy when applied to a cohort of patients with joint symptoms.
https://t.co/YLkheDOrdI https://t.co/MFMEYifP3W
Dr. John Cush RheumNow ( View Tweet)
RA & OA: Nearly 40% have Anxiety, Depression or Fibromyalgia
Researchers at Rush University analyzed clinic MDHAQ data and found between 36-40% of OA and RA patients screen positive comorbid anxiety (ANX), depression (DEP), or fibromyalgia (FM).
https://t.co/ZElo9iPfA6 https://t.co/dcE0fAsp2N
Dr. John Cush RheumNow ( View Tweet)
DBRPCT of Krill oil (4 g/d;KOC) vs PBO in 78 #SLE pts for 24 wks. KOC Rx pts had signif increase in Omega-3 Index 4.3% to 7.17% (4wks) to 8.05% (24wks) w/ no change SLEDAI-2K. But 9pts w/ hi activity (SLEDAI≥9) showed signif Dz activity improvements https://t.co/ODLqqZzGQx https://t.co/tehHk4MhbZ
Dr. John Cush RheumNow ( View Tweet)
Patients with Financial Limits Struggle with Medication Adherence
The National Health Interview Survey reveals that nearly 1 in 5 patients with rheumatologic disease in the U.S. face economic challenges, including food insecurity and CRM nonadherence.
https://t.co/DhiLDq3fjZ https://t.co/zqQRAJDrzc
Dr. John Cush RheumNow ( View Tweet)
Bad News Coronary Artery Calcium in Rheumatic Patients
In the 2024 SCCT meeting, Dr. Brittany Weber presented findings showing that incidentally discovered CAC in patients with IMID can lead to worse outcomes, even without prior ASCVD.
https://t.co/aJhf0IL1WW https://t.co/uMl89rXjBK
Dr. John Cush RheumNow ( View Tweet)
Earlier RA Diagnosis Leads to Lower Costs of Care
A study from the Leiden Early Arthritis Clinic shows that is RA is diagnosed within 12 weeks after symptom onset, treatment costs were lower in both autoantibody-negative and autoantibody-positive RA.
https://t.co/TnrpZGZ4fX https://t.co/elNQ3Pde2a
Dr. John Cush RheumNow ( View Tweet)
CDC warns of Listeria outbreak assoc w/ deli meats - in 12 US states (lead by NY, and MN, MO, IL, WI, PA, VA, GA, NJ, DE, MD, MA, NC), 28 cases, 28 hospitalized, 2 deaths. @risk are the pregnant, elderly, immunosuppressed. Cook deli meats >165F https://t.co/SWKMhIBQEi https://t.co/snLjBKn1UJ
Dr. John Cush RheumNow ( View Tweet)
Cross-sectional study of 154 adult DLE pts in the Philadelphia area assessed DLE Dz severity (by CLASI) & geoghraphic distribution to ID area deprivation (ADI). ADI > 5 (geospatial disadvantaged) was assoc w/ signif (4X) higher risk of mod-Severe Damage https://t.co/dgeGwzNTKm https://t.co/B3hmUE1G9U
Dr. John Cush RheumNow ( View Tweet)
2001-2004 NHANES population study shows 28% report hx of erectile dysfunction (ED) & 19% w/ arthritis. Having arthritis was assoc w/ 4 fold higher ED risk; mostly in #OA (OR=1.11), RA (OR=1.03). https://t.co/L2LhEPH9DY https://t.co/yLhVmLw7nt
Dr. John Cush RheumNow ( View Tweet)


