All News
Which One is the Loneliest Number (9.27.2024)
Dr. Jack Cush reviews the regulatory approvals, announcements, guidelines and interesting journal articles from the past week on RheumNow.com. When not to use muscle relaxants, how frequent is loneliness in RA/PsA/SpA, and when to refer patients with Still's disease.
Read ArticleStratified Cancer Screening in Dermatomyositis
The International Myositis Assessment and Clinical Studies Group (IMACS) have published evidence and consensus based cancer screening guidelines for patients with idiopathic inflammatory myopathies, including dermatomyositis.
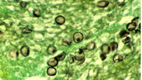
Read ArticlePneumocystis Jirovecii Pneumonia Complicating Systemic Vasculitis
A retrospecitive analysis of 62 patients with systemic vasculitis complicated by Pneumocystis jirovecii pneumonia (PJP) showed those with microscopic polyangiitis (MPA) had a higher mortality risk, possibly due to a higher prevalence of interstitial lung disease (ILD) in MPA.
Read ArticleEULAR/PReS Still's Disease Management Recommendations
Since 2022, EULAR and the Paediatric Rheumatology European Society (PReS) have been working to establish clinical practice guidelines for the diagnostics and management of systemic juvenile idiopathic arthritis (sJIA) and adult-onset Still’s disease (AOSD).
Read ArticlePain Relief with JAK Inhibitors or Anti-TNFs ?
Targeted drugs for rheumatoid arthritis (RA) are not created equal when it comes to pain relief, a retrospective study from Sweden indicated, although the differences appeared to be modest.
Read ArticleBritish Society Guidelines for Managing Behçet’s Disease
An exhaustive, full read guideline from the British Association of Dermatologists (BAD) and the British Society for Rheumatology (BSR) on the management and treatment of Behçet’s disease (BD) in 2024 has been published in Rheumatology.
Read ArticleINVIGORATE-2 Study - IV Secukinumab in Active Psoriatic Arthritis
The INVIGORATE-2 trial reports that intravenous secukinumab is both effective and safe in patients with active psoriatic arthritis, demonstrating improvements on par with subcutaneous secukinumab.
Read Article
Links:


