All News
ACP Gout Guidelines Reviewed and Critiqued by Rheumatologists
ACP released clinical practice guidelines for the diagnosis and management of gout. Interestingly, these are not always aligned with the 2012 ACR gout guidelines.
Read ArticleDecreased CD4 T Cells with Rituximab Infusions
Rituximab (RTX) is a monoclonal antibody directed against the CD20 antigen on B cells and when administered causes a marked depletion of CD20+ B cells.
Read ArticleLymphotoxin B and Adipose Derived Stromal Cells Regulate Skin Fibrosis in Scleroderma
A possible mechanism behind the fibrosis that occurs in scleroderma has now been identified, a mechanism, researchers say, that may one day lead to a treatment for the disease.
IgA ACPA and Plasmablasts Point to Microbiome in Pre-Clinical Rheumatoid
Serum antibodies precede the development of clinical rheumatoid arthritis (RAby) by many years, and yet we still have much to learn about this preclinical phase.
Read ArticleWhen Cheap Generics Morph Into Expensive Prescriptions
The Wall Street Journal has reported an alarming trend in generic drug pricing that affects many, especially the elderly and those with arthrtis.
Read ArticlePrevalence of Inflammatory Bowel Disease Increases
The MMWR has reported that Crohn’s disease and ulcerative colitis, collectively known as inflammatory bowel disease (IBD), previously (1999) had an estimated 1.8 million (0.9%) prevalence. But as of 2015, an estimated 3.1 million (1.3%) of U.S.
Read ArticleIs There a Familial Risk to Scleroderma?
Using population based data, researchers found a 10 fold increase prevalence of SSc in first degree relatives. That equates to a relative risk of 81. Genetic factors appear to be important in the risk for scleroderma.
Read ArticleThe RheumNow Week in Review – 28 October 2016
Dr. Jack Cush reviews highlights, news and journal reports from this week at RheumNow.com
Read ArticleSimultaneous Versus Staged Bilateral Total Knee Arthroplasty
This metanalysis from 2013 reports on an important issue for orthopedists and rheumatologists alike. The issue being in those who need bilateral total knee arthroplasty, is it better to do both knees at once or to do one at a time (staged, serial) arthroplasties..
Read ArticlePOSTURE Study: Apremilast Fails in Ankylosing Spondylitis
ClinicalTrials.gov has listed the results of the POSTURE study, a large randomized placebo-controlled trial wherein apremilast was found to yield no benefit (compared to placebo) in treating ankylosing spondylitis (AS) (32.5% vs. 36.6% ASAS20 at week 16) patients.
Read ArticleKawasaki Disease Pathogenesis Hinges on Interleukin-1
Researchers from the Toronto Hospital for Sick Children have published in the Journal of Immunology that a polymorphism in the inositol-triphosphate 3-kinase C (ITPKC) (rs28493229) is associated with the pathogenesis of Kawasaki's disease (KD).
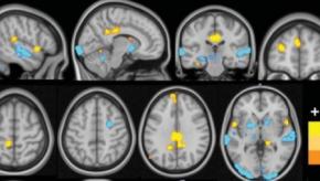
Read ArticleA Neural Signature in Fibromyalgia
Fibromyalgia is a well characterized condition with disordered pain processing. Although the clinical constellation and diagnostic clues are well characterized, FM lacks a diagnostic biomarker and most imaging and tissue diagnostics have been unrevealing.
Read ArticleSeropositivity Increases Mortality Rates in Rheumatoid Arthritis
It has been long known that rheumatoid arthritis is associated with an increased mortality rate, especially in seropositive patients and those with extraarticular manifestations.
Read ArticleOctober-September 2016 Top Social Media News
Following is a list of top tweets in September and October 2016; they were selected based on the number of clicks, retweets and likes by the viewership. More than 40,000 people were reached with the first one on our list.
Read ArticleACP Guidelines on the Diagnosis and Treatment of Low Back Pain
Low back pain (LBP) is the fifth most common reason for all physician visits in the United States and nearly 25% of all U.S. adults have had LBP in the last 3 months and nearly 6% reported at least 1 episode of severe acute low back pain in the last 1-year.
Read ArticleMost Clinicians Do Not Order MRI/CT for Nonspecific Low Back Pain
Low back pain (LBP) is a highly prevalent public health problem. Not surprisingly, imaging of LBP is also an expensive and often overused diagnostic tool.
Read ArticleEarly Intervention with Corticosteroids and IVIG is Crucial in Kawasaki Disease
The current JAMA Pediatrics issue has published a report showing that adjunctive corticosteroid therapy yielded significantly fewer coronary artery complications compared with intravenous immunoglobulin therapy alone, particularly among high-risk patients with Kawasaki disease.
Read ArticleRheumNow Week in Review – 21 October 2016
Dr. Cush Reviews Highlights from the past week on RheumNow.com. Register to receive free daily rheumatology news written by rheumatologists for rheumatologists. Download the podcast at iTunes.com.
Read ArticleHigher Lupus Disease Activity in First Year Postpartum
Most women with systemic lupus erythematosus (SLE) have no or little disease activity during pregnancy, but experience greater disease activity or overt flares during the first year postpartum, a Norwegian study has found.
Read ArticleGood News for Lupus Pregnancies
The Washington Post recently interviewed Dr. Eliza Chakavarty of the OMRF about the evolution in attitudes and outcomes of lupus women who wish to get pregnant.
Read Article


