All News
Ethnicity Matters in Sjogren's Syndrome
Among the ethnically diverse residents of Manhattan, certain groups had markedly different incidence rates of primary Sjogren's syndrome, a retrospective study found.
Read ArticleOpioid Aversion is Augmenting Spinal Steroid Injections
As physicians turn away from opioids, are they resorting to options that may also be unsafe?
The New York Times reports that some physicians are using the anti-inflammatory drug, Depo-Medrol, for intraspinal injections to manage painful spinal and perispinal disorders.
Read ArticleIL-1 Suppression May Improve Dilated Cardiomyopathy
Interleukin-1 (IL-1) suppression helped reverse symptoms of dilated cardiomyopathy (DCM) for one patient in a case study that may implicate inflammation in the development of the condition.
Read ArticleCompany Payments to Rheumatologists, Specialists Linked to Increased ACTH Prescriptions
Despite its exorbitant price tag and paucity of supportive clinical evidence, ACTH (corticotropin) sales have increased in the United States. A recent JAMA article examined its use by specialists and found that those who prescribe ACTH (including rheumatologists, nephrologists, neurologists) received corticotropin-related payments from the products sole manufacturer, Mallinckrod.
Read ArticleStatin Associated with an Increase in Inflammatory Myopathy
JAMA Internal Medicine reports that exposure to statin medications may be linked to histologically confirmed idiopathic inflammatory myositis.
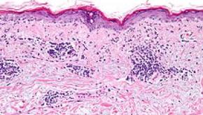
Read ArticleType I Interferon Drives Photosensitivity in Cutaneous Lupus
Kahlenberg and coworkers have reported in ARD that interferon kappa (IFN-κ) is a key regulator of type I interferon (IFN) photosensitive responses in patients with cutaneous lupus erythematosus (CLE).
Read ArticleVeterans Administration Shuns Marijuana as an Option
Cannabis therapy is legal in 30 states in the US, and soon to be legal in Canada and Great Britian, but the US Veterans Administration continues to reject medical marijuana as a therapeutic option - even in states where it is approved.
Read ArticleThe Fate of Palindromic Rheumatism
Palindromic rheumatism (PR) is an intermittent inflammatory arthropathy with episodes of arthritis and/or periarticular inflammation that wax and wane over time. It is thought that up to one-third of such patients may go on to develop rheumatoid arthritis (RA).
Read ArticleThe RheumNow Week in Review – Lupus in the News (7.27.18)
Dr. Jack Cush reviews the news and journal reports from the past week on RheumNow.com.
Read ArticleLatin American Clinical Practice Guidelines for Lupus
The Annals of Rheumatic Disease have published the recently developed Latin American clinical practice guidelines for systemic lupus erythematosus (SLE) addressing the best pharmacologic interventions for musculoskeletal, mucocutaneous, kidney, cardiac, pulmonary, neuropsychiatric, hemat
Read ArticleMinimal Disease Activity: The Goal in PsA
The majority of patients with psoriatic arthritis (PsA) who achieved a state of minimal disease activity (MDA) after 6 months of treatment with adalimumab (Humira) maintained that response through 24 months, a large observational study found.
Read ArticleSteroids vs. NSAIDs in Treating Acute Gout
Gout, the ancient disease of kings is usually treated with the ancient (and costly) drug colchicine, often without consideration of nonsteroidal antiinflammatory drugs (NSAID) or corticosteroids.
Read ArticleConsensus Guidelines for Methotrexate in Juvenile Idiopathic Arthritis
A consensus panel was convened to develop consensus-based clinical and therapeutic recommendations for the use of methotrexate (MTX) in the management of Juvenile Idiopathic Arthritis (JIA) patients.
Read ArticleErectile Dysfunction in Gout
The Journal of Rheumatology reports a population-based study demonstrating that gout is associated with an increased risk of developing erectile dysfunction (ED) suggesting that hyperuricemia and inflammation may be independent risk factors for ED.
Read ArticlePredicting Autoimmune Progression in ANA+ Patients
Positive tests results for antinuclear antibodies (ANAs) are frequently referred to rheumatology despite their poor predictive value, even in individuals who are ‘At Risk’ for autoimmune connective tissue diseases (AI-CTDs).
Read ArticleBaricitinib Effective in SLE Trial
Dan Wallace and colleagues report in Lancet the results of a phase II study of the selective baricitinib, an oral selective Janus kinase (JAK1 and JAK2) inhibitor, in patients with systemic lupus erythematosus, demonstrating the efficacy and safety of JAK1/2 inhibition with baricitinib as a new potential oral therapy for SLE.
Read ArticleThe RheumNow Week in Review – Cocoon Therapy? (7.20.18)
Dr. Jack Cush reviews highlights from the news and social media on RheumNow.com in the past week.
Read ArticleBiomarker Combo Predicts TNF Inhibitor Responses
Based on clinical trial data, patients starting tumour necrosis factor-alpha inhibitors (TNFi) have roughly a two-thirds chance of achieiving a good clinical response. French investigators have studied a series of potential biomarkers and surmised that the combination of baseline prealbumin, platelet factor 4 and S100A12 can predict a 78% response to TNFi in rheumatoid arthritis (RA) patients.
Read ArticleThe Lung in RA: Little Progress
The progress that has been seen in the management of many aspects of rheumatoid arthritis (RA) has not been paralleled for the pulmonary disease that remains the second most common cause of death among these patients, an Australian expert reported here at the annual meeting of the Florida Society
Read ArticleUnsafe Practices with Ambien Use
Ambien (zolpidem) is the most widely used prescription hypnotic sedative since its introduction in 1992 and is currently the fourth most frequently prescribed psychiatric drug (2013). Recent US Food and Drug Administration Drug Safety Communications suggest limitations on use to reduce adverse effects. A study of the Medical Expenditures Survey in 2015 revealed that over 3.8 million adults reported using one or more prescriptions for zolpidem.
Read Article


