All News
Uncertain Long Term Efficacy in Trials of Knee Osteoarthritis
A systematic review and network meta-analysis of 47 randomized clinical trials in knee osteoarthritis finds uncertainty around estimates of effect size for pain scores thereby casting uncertainty over the long-term efficacy of medications for knee osteoarthritis.
Read ArticleSleep Apnea Increases Gout Risk
Both Gout and obstructive sleep apnea (OSA) comingle with a wide range of serious comorbidities. A matched retrospective cohort study from the UK Clinical Practice Research database shows those with OSA are at a higher risk of developing gout.
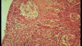
Read ArticleSevere Cutaneous Sarcoid Treated with Tofacitinib
Researchers from Yale have taken a novel approach and shown benefits when using tofacitinib in severe cutaneous sarcoidosis.
Read ArticleBest of 2018: The Safety of Paternal Exposure to DMARDs and Biologics
Pregnancy and drug safety is a complex issue, often with limited information about maternal drug exposure on the offspring. Greater uncertainty exists when considering whether paternal exposure may also influence fetal outcomes.
Read Article
Links:
Dr. John Cush RheumNow ( View Tweet)
Links:
Dr. John Cush RheumNow ( View Tweet)
Dr. John Cush RheumNow ( View Tweet)
Pulmonary arterial hypertension is a very uncommon complication of Adult onset Stills disease - 4.8% of 41 AOSD pts developed PAH - often severe, with a mortality risk. https://t.co/XjyVArMNBl
Links:
Dr. John Cush RheumNow ( View Tweet)
Links:
Dr. John Cush RheumNow ( View Tweet)
Links:
Dr. John Cush RheumNow ( View Tweet)
Links:
Dr. John Cush RheumNow ( View Tweet)
Links:
Dr. John Cush RheumNow ( View Tweet)
Links:
Dr. John Cush RheumNow ( View Tweet)
Links:
Dr. John Cush RheumNow ( View Tweet)
Dr. John Cush RheumNow ( View Tweet)
Dr. John Cush RheumNow ( View Tweet)
Dr. John Cush RheumNow ( View Tweet)
David Karp DrDavidKarp ( View Tweet)
Links:
NYT Health NYTHealth ( View Tweet)
RACE GBN Racegbn ( View Tweet)


