All News
AI-assisted diagnosis for immunological disease
A novel machine learning framework – Mal-ID – can decipher an individual’s immune system’s record of past infections and diseases, according to a new study, providing a powerful tool with the potential for diagnosing autoimmune disorders, viral infections, and vaccine responses with precision.
Read ArticleCRP and Hidradenitis Supprativa
A post hoc analysis of 2 phase 3 randomized clinical trials (PIONEER I and II) of adalimumab vs Placebo in patients with active Hidradenitis suppurativa (HS) demonstrated more severe HS that was associated with elevated CRP had a higher BMI.
Read ArticleDeucravacitinib in Psoriasis - 5 Year Outcomes
BMS released new five-year results from the POETYK PSO long-term extension (LTE) trial of deucravacitinib in treating patients with moderate-to-severe plaque psoriasis. The data was presented by Dr.
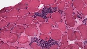
Risk Prediction Modeling in MDA5 Dermatomyositis
Patients with Melanoma differentiation-associated gene 5 (MDA5) positive dermatomyositis (DM) are complicated and prone to interstitial lung disease, poor prognosis, and a high mortality.
Targeting PD-1 in Rheumatoid Arthritis
The results of the large Phase 2b RENOIR trial showed that rosnilimab, a monoclonal antibody targeting PD-1, was effective in moderate-to-severe rheumatoid arthritis (RA) patients.
Read Article
Links:
Dr. John Cush RheumNow ( View Tweet)


