Top vasculitis takeaways from ACR 2021 Save
There were several hot topics and it is difficult to give all the top abstracts, so I will concentrate on vasculitis.
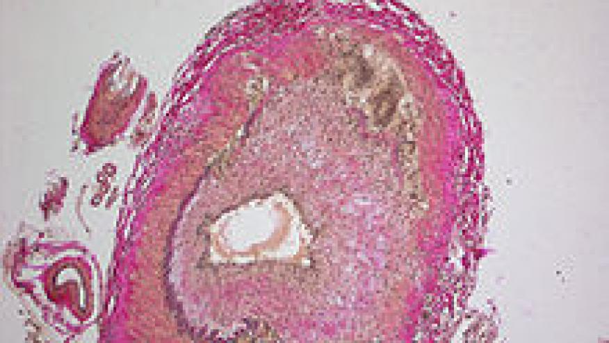
Giant cell arteritis
Treatment for GCA (giant cell arteritis). We already know that tociluzimab (TCZ) has been approved. There were several abstracts from a multi-site group in Spain. TCZ use in those with ocular involvement was 17% but associated with no new visual changes but there was no comparison group (such as methotrexate, or high dose steroids alone) (Sánchez-Bilbao L, et al. ACR 2021, #1412).
Venhoff N, et al. L19 TitAIN trial studied secukinumab vs placebo in a very small RCT (N=52) in GCA. Steroid taper regimen was part of the protocol. Both sustained remission and time to flare were superior in secukinumab. Who would have thought an IL17i would be effect in GCA. Of course, we need a larger phase III trial, but very interesting results.
ANCA associated vasculitis
Clinical features of ANCA vasculitis were presented including interstitial lung disease occurring in 14% of 698 patients and I think this feature is iikely underrecognized (Dolliner B, et al. ACR 2021, #430). Neurologic involvement occurs in 1/3 of patients (especially peripheral nerve) and is more frequent in eGPA (such as mononeuritis multiplex) (Hajj-Ali R, et al. ACR 2021, #417).
In a RCT of eGPA, rituximab was not superior to standard of care (Terrier B, et al. ACR 2021, #L21). Surprised? The trial was small (only 65) and remission at both days 180 and 360. Remember in the RAVE trial of ANCA vasculitis, rituximab was not superior to cyclophosphamide (Stone JH, N Engl J Med. 2010 Jul 15;363(3):221-32.).



If you are a health practitioner, you may Login/Register to comment.
Due to the nature of these comment forums, only health practitioners are allowed to comment at this time.