Can the Focus Score predict Lymphoma in Sjogren’s syndrome? Save
Patients with Sjogren’s syndrome are nearly 19 times more likely to develop lymphoma, so identifying factors that impact this risk development is a major goal in caring for this disorder. Many risk factors are established such as low C4, palpable purpura, parotid gland enlargement, and monoclonal gammopathy.
Dr. Loukas Chatzis proposed that the Focus score from salivary gland biopsy can be another predictive marker of lymphoma risk development at oral presentation OP0291 during EULAR 2021.
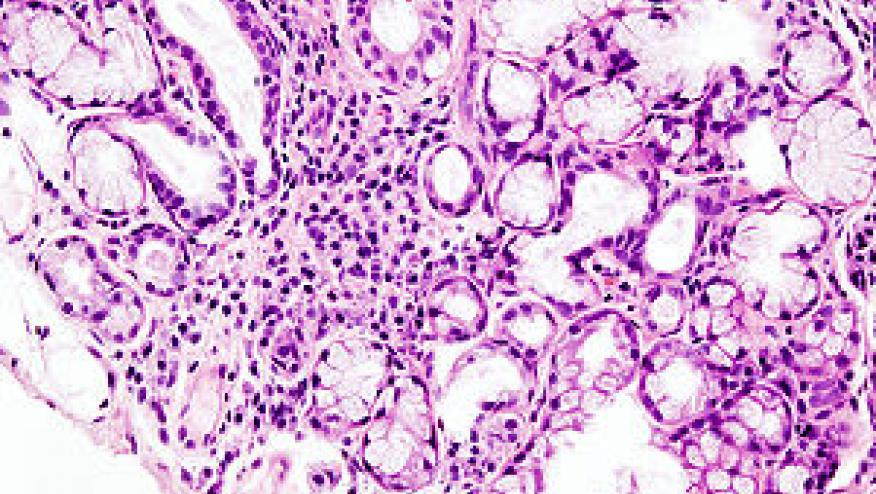
The Focus score is a measure of lymphocytic infiltrate localized around the ductal epithelium and lacrimal glands. The score is the number of locations with rich mononuclear cell infiltrates, more than 50 cells per 4 mm2. A score of greater than or equal to 1 is considered a positive biopsy, though the score can be as high as 12. The Focus score has been shown to correlate with increased autoantibodies and extra-glandular manifestations. Risselada et al previously performed a small study of 16 patients that showed a positive lip biopsy correlated with lymphoma risk, though large studies have not previously been performed.
In Dr. Chatzis’s study, a large cohort of patients were followed from Italy and Greece with Sjogren’s syndrome. They compared 560 Sjogren’s patients without lymphoma to 58 Sjogren’s patient who developed lymphoma. They found that focus score correlated with lymphoma development as a continuously variable (Odds ratio 1.32, p-vale 0.049). Through their statistical analyses, they found that focus score of 4 or greater was the best differentiator between a group at high-risk for lymphoma and low-risk group. This high-risk group (Focus score ³ 4) had increased salivary gland swelling, lymphadenopathy, autoantibodies, monoclonal gammopathy, as well as increased risk of lymphoma. The group was also noted to have decreased autoimmune thyroiditis. The authors concluded that Focus score of 4 or greater are patients at higher risk of lymphoma development. They proposed increased surveillance of these patients and repeating a biopsy in four years to re-assess for disease risk, though they have not yet studied this recommendation.
In summary, this was a fantastic presentation by Dr. Chatzis and I will now incorporate Focus score in assessing risk of lymphoma development. It is important to recognize a limitation that the lip biopsy is invasive and not always needed to establish the diagnosis.
Additionally, Focus score are subject to variability in the reads of pathology, and are therefore best interpreted by an experienced pathologist if used for prognostication. Dr. Chatzis et al propose a novel surveillance protocol of patients with high risk of lymphoma based upon the Focus score and I look forward to further studies using their approach.



If you are a health practitioner, you may Login/Register to comment.
Due to the nature of these comment forums, only health practitioners are allowed to comment at this time.