Varicella Zoster Virus Commonly Found in Giant Cell Artery Biopsies Save
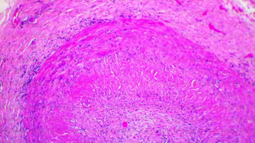
Varicella-zoster virus infection was studied in temporal artery biopsies from those suspected of having giant cell arteritis. VZV antigen was found in 61/82 (74%) GCA-positive temporal arteries (TA) compared with 1/13 (8%) normal TAs (p 0.0001, with RR=9.67, 95% CI ;1.46, 63.69). Most GCA-positive TAs contained viral antigen in skip areas. VZV antigen was present mostly in adventitia, followed by media and intima. VZV antigen was found in 12/32 (38%) skeletal muscles adjacent to VZV antigen-positive TAs. Antiviral treatment may confer additional benefit to patients with GCA treated with corticosteroids, although the optimal antiviral regimen remains to be determined.



If you are a health practitioner, you may Login/Register to comment.
Due to the nature of these comment forums, only health practitioners are allowed to comment at this time.