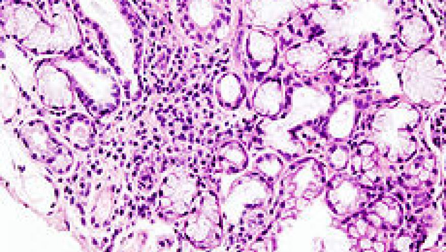
The Real Prevalence of Sjogren's Syndrome Save
The population prevalence of Sjogrens syndrome is 0.2%, with an incidence of 4 cases per 100,000 per year. Sjogrens is 20 times more common in females than males.
Continue Reading
By downloading this material, I acknowledge that it may be used only for personal use and personal education and that I will accredit RheumNow.com as the source and owner of this material. Commercial use or mass reproduction of this material without permission from RheumNow (info@rheumnow.com) is prohibited.
If you are a health practitioner, you may Login/Register to comment.
Due to the nature of these comment forums, only health practitioners are allowed to comment at this time.