Difficulties Diagnosing Interstitial Lung Disease in Scleroderma Save
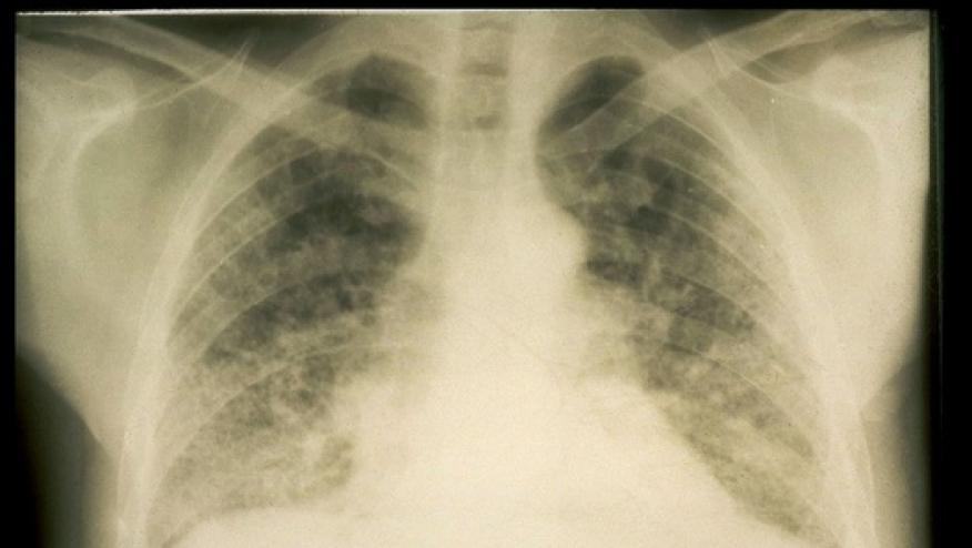
The diagnosis of chronic lung disease in patients with systemic sclerosis may be difficult because of atypical symptoms, variable evolution and limitations of current classification criteria for a definite diagnosis. Nevertheless, diagnosis is necessary as patients with SSc-ILD have a poorer prognosis than those with SSc without pulmonary involvement. Vrancken and colleagues present a case report and brief review of this challenging complication.



If you are a health practitioner, you may Login/Register to comment.
Due to the nature of these comment forums, only health practitioners are allowed to comment at this time.