Skip to main content

Rheumatoid Arthritis

      Many conventional synthetic, biological, biosimilar, and targeted synthetic disease-modifying anti-rheumatic drugs are currently commercially available for the effective treatment of rheumatoid arthritis. However, the "Holy Grail" remains the prevention of its development. During a clinical symposium at EULAR 2024 in Vienna, updates were presented on four prospective intervention trials conducted in patients experiencing joint pain without
      As we have incorporated technology into our workflows, and consequently saved lives and suffering, we have balanced our excitement about progress with proof that incremental advances can truly deliver benefit. it is easy to let promise carry our caution away - and while most of the time such advances come in a vetted package, which we can consume without concern, conference abstracts come raw. This is the necessary ingredient to a platform
      Fertility in the context of RMDs is a daily concern for a lot of rheumatologists and patients. EULAR this year proposed new fertility data, especially in Rheumatoid Arthritis, along with an update of the EULAR points to consider for use of antirheumatic drugs in reproduction, pregnancy and lactation.
      It is almost four years since EULAR published its definition of difficult-to-treat (D2T) rheumatoid arthritis (RA) (1). This marked a formal recognition of the group of patients who, despite the advances in pharmacological therapy for RA, remain symptomatic.
      The development of JAK inhibitors represents an advance for the treatment of inflammatory rheumatic diseases. However, the enthusiasm in using this target has waned since the publication of the ORAL surveillance clinical trial in 2022. Subsequently, both the FDA and EMA issued a warning on using JAKi in patients with certain risk factors, e.g., ≥65 years, at increased risk of MACE, current smoker or past smoker and at increased risk of cancer,
      With a better understanding of pathophysiology, improved management guidelines, available medications, and a multidisciplinary approach, pregnancy for lupus patients has become more feasible. Despite these improvements, some patients still experience poor outcomes, highlighting the need for biomarkers that can predict these risks. An abstract presented at #EULAR2024 (POS1393) explored this possibility.
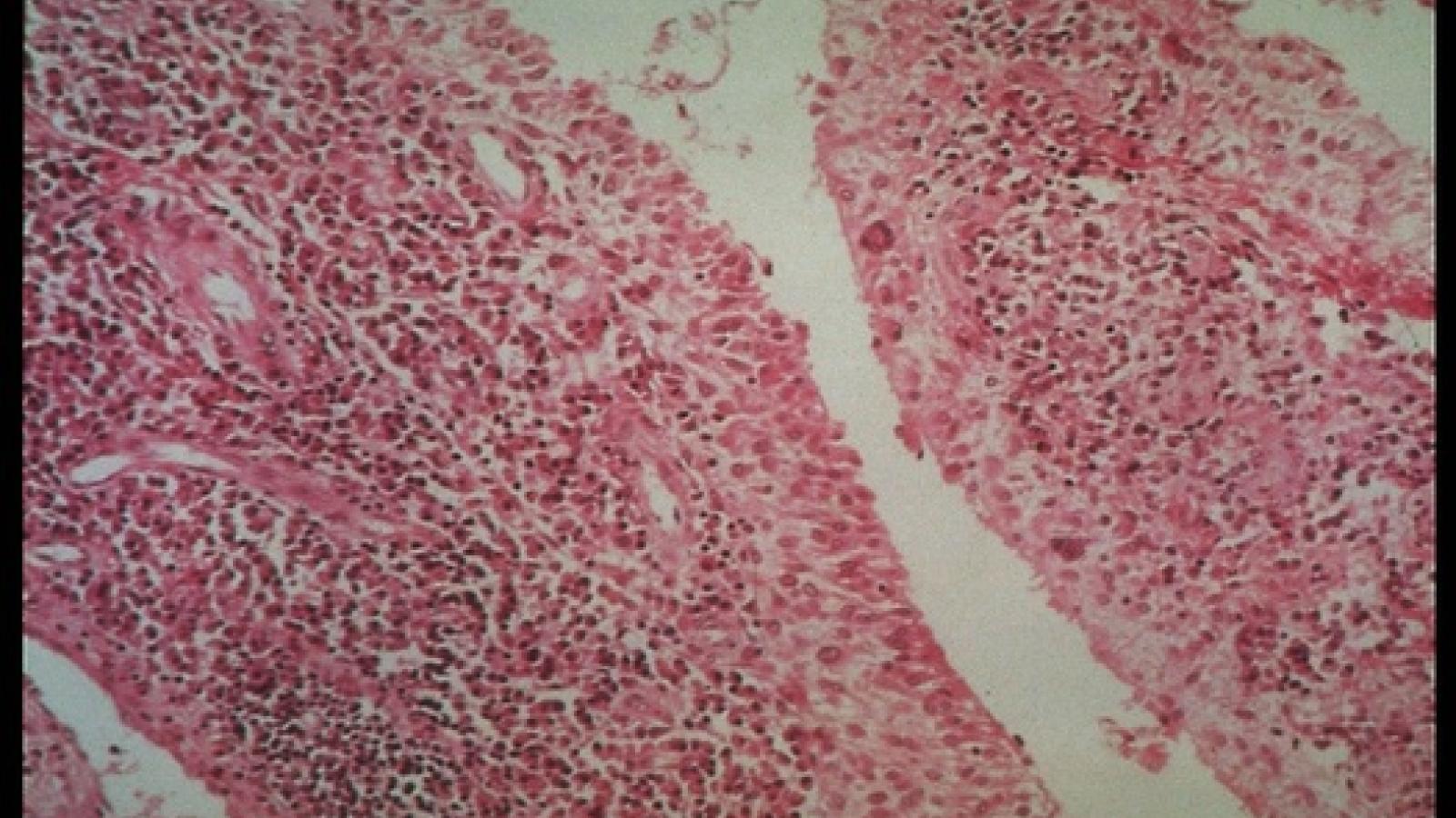
      Multi-modal analysis of rheumatoid arthritis (RA) synovitis pathotypes enables more accurate choices of first line cDMARDs treatment, suggesting a predictive value to synovial biopsy. 
      Two large retrospective cohort studies presented by the team at Mayo Clinic, Rochester MN examine the burden of stroke, as well as overall and cause-specific mortality in people with RA (POS0591 and POS0592).
      Day 2 at EULAR 2024 was a big poster day for many with several good sessions and oral presentations on Preventing RA, new vasculitis therapies and a session devoted to the 50th anniversary of the Moll & Wright Criteria.
      Dual seropositivity (rheumatoid factor and/or anti-citrullinated protein antibodies) as well as shared epitope are known to be associated with poor prognosis and structural damage in RA.
      Wednesday was Day One at EULAR 2024 in Vienna. While the day was a slow start, the poster halls and auditoriums quickly filled with thousands of rheumatologists, eager to reunite at this international educational forum. Below are a few of my favorites from Day 1.
      Several abstracts are presenting new compounds, targeting either RA well-known inflammatory pathways or offering new mechanisms of action or therapeutic sequences; these are summarized below.
      Just about every Medicare Part D prescription drug plan on offer this year covers the original version of adalimumab (Humira), whereas only about half will pay for any of the several biosimilar versions currently approved, researchers found.
      Dr. Jack Cush reviews FDA approval, news and journal articles -- and it’s the week before EULAR 2024 in Vienna!!
      ×