Skip to main content
      Despite being relatively common and frequently severe, RA-ILD has been a neglected area of research and indeed of clinical management in RA. In recent years we finally seem to have started making some progress in this area and this momentum has continued with a several interesting abstracts at EULAR 2021. Here are four selected for review.
      RheumNow faculty reporters scoured the Posters and Presentations from virtual EULAR 2021.  Several of these are novel enough to be worthy of your consideration.  Below is the list of the six most often retweeted abstracts from Day 1.
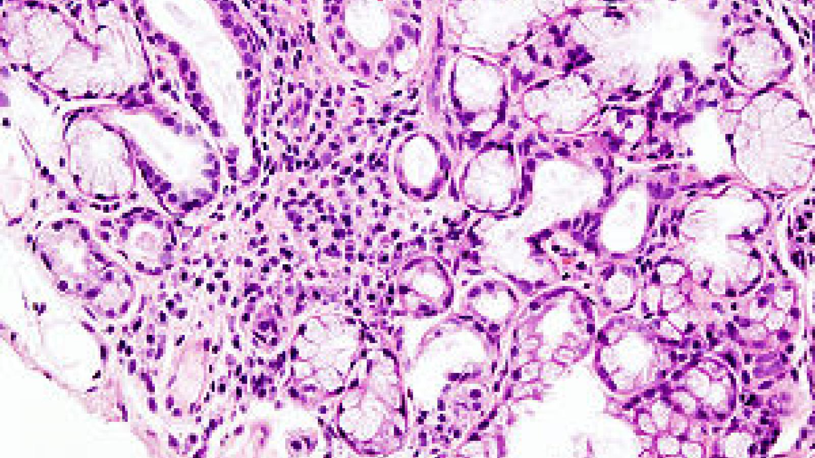
      Can the Focus Score predict Lymphoma in Sjogren’s syndrome? by Dr. Eric Dein ( @ejdein1 )

      https://t.co/B5HN6ju3ru ht

      Dr. John Cush RheumNow

      4 years 6 months ago
      Can the Focus Score predict Lymphoma in Sjogren’s syndrome? by Dr. Eric Dein ( @ejdein1 ) https://t.co/B5HN6ju3ru https://t.co/3MuXH66YqJ
      Video: Did I Forget Something? Dr. Jonathan Kay ( @RheumKay )

      Dr. Jonathan Kay examines abstracts OP0216 and OP0215 tha

      Dr. John Cush RheumNow

      4 years 6 months ago
      Video: Did I Forget Something? Dr. Jonathan Kay ( @RheumKay ) Dr. Jonathan Kay examines abstracts OP0216 and OP0215 that were presented at the virtual #EULAR2021 meeting. https://t.co/Vaa570r7WE https://t.co/mNQJyOiNep
      Video: Impact of RA on Male Fertility: New Data: Dr. Aurelie Najm

      Dr. Aurelie Najm reviews abstracts OP0211 and OP0212

      Dr. John Cush RheumNow

      4 years 6 months ago
      Video: Impact of RA on Male Fertility: New Data: Dr. Aurelie Najm Dr. Aurelie Najm reviews abstracts OP0211 and OP0212 presented at the virtual #EULAR2021 meeting. https://t.co/AHwhyLiwD0 https://t.co/sm7cSBPIBV
      Psoriatic arthritis mortality & morbidities by Dr. Paul Studenic #EULAR2021

      PsA is a chronic condition with manifol

      Dr. John Cush RheumNow

      4 years 6 months ago
      Psoriatic arthritis mortality & morbidities by Dr. Paul Studenic #EULAR2021 PsA is a chronic condition with manifold clinical presentations. Health issues may be far beyond the classical associated conditions like uveitis, enthesitis etc. https://t.co/zHfeaiiG93 https://t.co/AoHenH6YkK
      Video: The PsA SpA Paradox of Choice

      Dr. Rachel Tate ( @uptoTate) reviews Dr. Laura Coates' presentation Personalized T

      Dr. John Cush RheumNow

      4 years 6 months ago
      Video: The PsA SpA Paradox of Choice Dr. Rachel Tate ( @uptoTate) reviews Dr. Laura Coates' presentation Personalized Treatment Strategies in Psoriatic Arthritis, given at the virtual #EULAR2021 meeting. https://t.co/Yg12SHR1MF https://t.co/UiCYDU5XGc
      An analysis of SLE samples from SLE 1760 patients with active disease from RCTs illustrated several known and some new targets for SLE treatment (POS0351).
      Combination disease modifying antirheumatic drug (DMARD) therapy may not be only for rheumatoid arthritis; combining disease modifying agents may be the path to better renal response. 
      Cutaneous lupus erythematosus (CLE) consists of a wide range of dermatologic manifestations seen in people with or without systemic lupus erythematosus (SLE). CLE can be categorised into LE-specific lesions, i.e. acute CLE (ACLE), subacute CLE (SCLE) and chronic CLE (CCLE), and nonspecific LE skin lesions (e.g. vasculitis).
      Patients with Sjogren’s syndrome are nearly 19 times more likely to develop lymphoma, so identifying factors that impact this risk development is a major goal in caring for this disorder. Many risk factors are established such as low C4, palpable purpura, parotid gland enlargement, and monoclonal gammopathy.
      New GRAPPA 2021 PsO and PsA Treatment Recommendations by Dr. Rachel Tate ( @uptotate)

      The evidence-based recommendation

      Dr. John Cush RheumNow

      4 years 6 months ago
      New GRAPPA 2021 PsO and PsA Treatment Recommendations by Dr. Rachel Tate ( @uptotate) The evidence-based recommendations from the Group for Research and Assessment of Psoriasis and Psoriatic Arthritis were presented at #EULAR2021. Read more... https://t.co/AnHQGA8aKs https://t.co/4c18j4h54T
      Video: Personalization of PsA Treatment: Dr. Robert Chao ( @doctorRBC)

      Dr. Robert Chao reviews a talk given by Dr. Lau

      Dr. John Cush RheumNow

      4 years 6 months ago
      Video: Personalization of PsA Treatment: Dr. Robert Chao ( @doctorRBC) Dr. Robert Chao reviews a talk given by Dr. Laura Coates entitled, "Towards personalized treatment strategies for psoriatic arthritis", presented #EULAR2021. https://t.co/LeocvUyZ7N https://t.co/g6ApPL0Pui
      Do B-cell targeted therapies still have a place for the treatment of Sjogren’s? #EULAR2021

      https://t.co/96sv3beMvG h

      Dr. John Cush RheumNow

      4 years 6 months ago
      Do B-cell targeted therapies still have a place for the treatment of Sjogren’s? #EULAR2021 https://t.co/96sv3beMvG https://t.co/EWKCA1KGsC
      ×