New studies shared at the 2025 annual EULAR congress in Barcelona highlight the benefits that nurse-led care can bring for both patients and healthcare systems.
Guidelines differ on the early treatment of RA – ACR suggests not to use glucocorticoids (GC) and EULAR updated recommendations for RA treatment presented at #EULAR2025 continued to suggest early treatment with MTX and glucocorticoids. We do know that it is not easy to get a significant minority of RA patients off of prednisone.
Saturday was the final day of EULAR, and included several lectures, but mostly late breaking abstracts and new EULAR guidelines - notably on Rheumatoid Arthritis and another on Interstitial Lung disease in connective tissue disorders. My favorite presentations included the following.
I asked the EULAR twitter sphere how they feel about combination of methotrexate (MTX) and leflunomide (LEF). The opinions are differing so far, with 50% reporting prescribing this combination often while 50% are worried of side effects. Several abstracts presented this year are providing further data to help us make up our minds in RA and PsA.
As earlier diagnosis and treatment of rheumatoid arthritis (RA) have resulted in greatly improved clinical outcomes, the focus of current research has now shifted to preventing the development of RA altogether. At EULAR 2025, several oral presentations explored this objective, highlighting data from three key prevention trials: APIPRA, ARIAA, and TREAT EARLIER. Each trial targeted individuals considered to be “at-risk” for developing RA,
The management of axial spondyloarthritis (axSpA) continues to evolve with the integration of artificial intelligence and digital health technologies. At #EULAR2025, the Bechterew-App Trial (LB0002) presented important new data on Axia, a novel AI-powered digital therapeutic developed for axSpA.
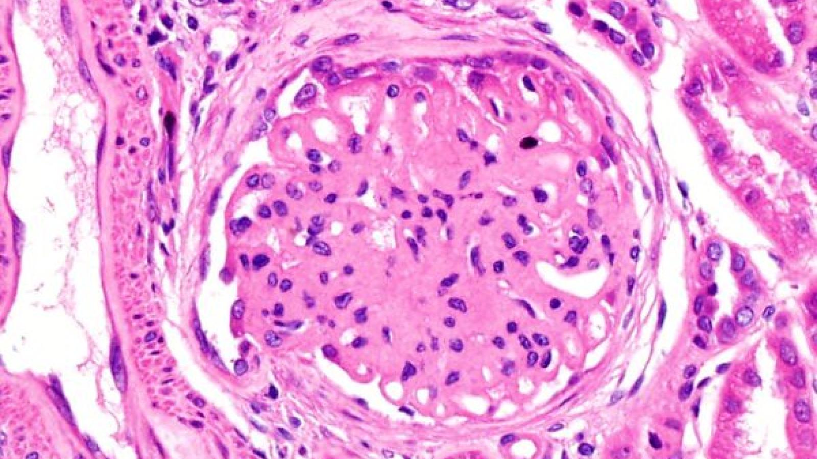
At the 2025 EULAR congress in Barcelona, Prof Dimitrios Boumpas presented a summary of the updated EULAR recommendations on the management of lupus nephritis (LN). The most significant change in the treatment paradigm of LN is that the historic standard of care (SOC) (i.e. mycophenolate with glucocorticoids, GC) is now known to be inferior to several licensed combinations, as well as other unlicensed combination therapies.
To address this, a French multi-centre prospective pregnancy observational cohort was set up, to analyse disease activity, treatment, pregnancy outcomes, delivery, and neonatal health. The work – presented at the 2025 annual congress of EULAR – showcased findings from 97 women with an autoinflammatory disease.
At EULAR 2025, Dr. Laura Coates (Oxford) took the plenary stage to reframe how we think about treating psoriatic arthritis. The message was clear: in 2025, PsA treatment is no longer about following a linear algorithm; it’s about understanding the unique constellation of domains, comorbidities, and patient factors that shape each clinical decision.
Gout flares are associated with cardiovascular events. Treating gout to target serum urate level prevents flares, but whether such treatment can also prevent cardiovascular events is unknown.
Highlights from today included presentations on imaging in vasculitis, a debate on whether to treat high risk pre-clinical RA, and EULAR Recommendations on a) Treatment of interstitial lung disease (ILD); b) Physical Activity in people with arthritis; and c) EULAR disease activity score for antiphospholipid syndrome and d) the management of SLE nephritis. Below are a few others that caught my eye today.
At EULAR 2025, there have been new developments in imaging in PsA.
At a EULAR 2025 session titled “What makes ‘Difficult-to-treat RA’ so difficult to treat? And what can we do?”, Drs. Paula David and Dennis McGonagle introduced the emerging concept of polyrefractory rheumatoid arthritis (RA), a term now being used to describe a subset of patients who have failed to respond to five or more biologic or targeted synthetic DMARDs. This new classification, derived from recent multinational registry data,
The VEDOSS project has previously shown that 70% of patients with Raynaud’s phenomenon and at least one red flag – systemic sclerosis (SSc)-specific antibodies, puffy fingers, or an SSc pattern on nailfold capillaroscopy –will fulfil the 2013 ACR/EULAR SSc criteria within 5 years.
IL-17 inhibitors are an effective therapeutic for a broad spectrum of inflammatory and autoimmune diseases and its blockade has revolutionized management of diseases such as psoriasis, psoriatic arthritis and SpA. Is there a need for more medications within the same therapeutic class?

Poster Hall