Skip to main content
      Among U.S. veterans receiving hydroxychloroquine (HCQ) as long-term therapy for rheumatoid arthritis, development of long QT syndrome was rare and not markedly more common compared with similar patients treated with other agents, researchers said.
      An integrated analysis of two pivotal trials of voclosporin, a calcineurin inhibitor, in lupus nephritis patients saw significant improvement in complete renal responses (CRR) at one year.
      Goofy But True
      Dr. Jack Cush discusses declining survival rates in the USA, FDA approvals of new COVID subvariant boosters and other odd and possibly true new research reports from the past week on RheumNow.com.
      While hypertension and arthritis are very common disorders, the association between them is unclear.  Analysis of NHANES data suggests that both rheumatoid arthritis (RA) and osteoarthritis (OA) are strongly associated with hypertension (HTN). The NHANES (National Health and Nutrition Examination Survey) of non-pregnant adult, aged ≥ 20 years examined data 48,372 eligible participants between 1999–2018.
      Not all patients with periodic fevers fit neatly into diagnostic categories. Some can be diagnosed as Still’s disease (based on criteria) while others can be classified as autoinflammatory diseases (AID) and some may be unclassifiable, clinically or genetically.
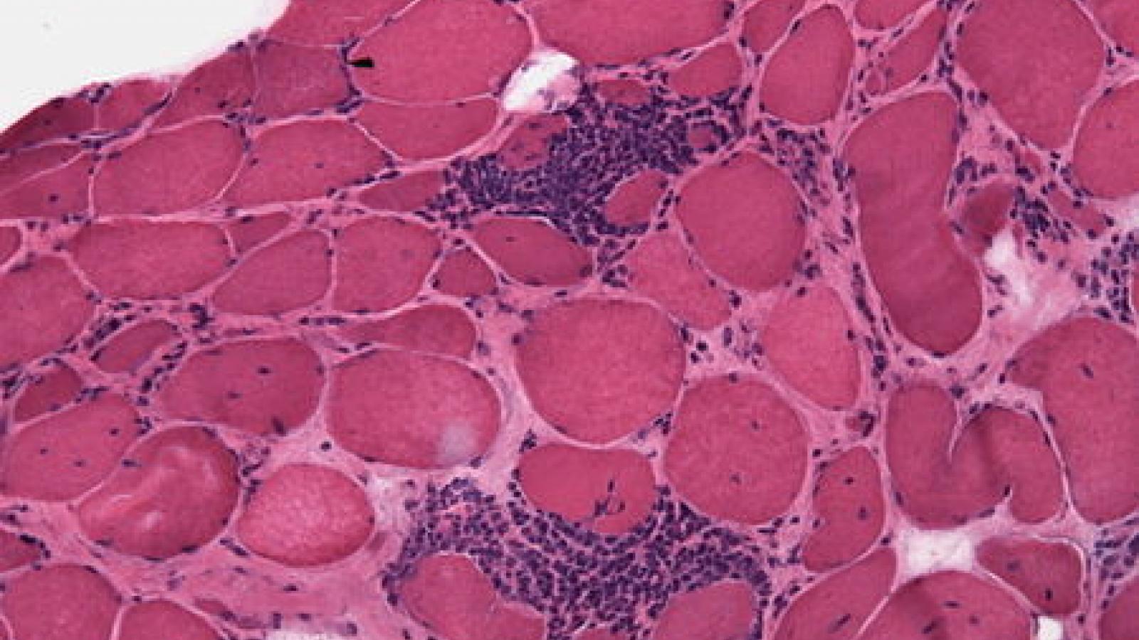
      The diagnosis of idiopathic inflammatory myopathies (IIMs) can be informed by the 2017 EULAR/ACR classification criteria, but their utility in patients with clinically amyopathic dermatomyositis (CADM) and anti–melanoma differentiation–associated protein 5 (anti–MDA-5)–positive IIM is less certain.
      Today the FDA authorized the updated Omicron subvariant (BA.4 and BA.5) COVID-19 booster shots manufactured by Pfizer and Moderna; with an anticipated ship/start date of early September 2022. The BA.5 subvariant accounts for more than 88% of U.S. infections.
      NICE (UK) has systematically reviewed current medical evidence and delivered a set of recommendations with consideration of cost effectiveness.
      Data from Data FORWARD (The National Databank for Rheumatic Diseases) reveals that nearly two-thirds of rheumatoid arthritis (RA) patients have self-reported sleep problems. The FORWARD study, a registry that includes over 4200 RA patients), collects data on obstructive sleep apnea (OSA), restless legs syndrome (RLS), and short sleep (SS) problems. SS was based on self-reported average sleep time (<6 hours). 
      Still's disease in adults (AOSD) or children (sJIA) can have dramatic symptom severity, making it easy to gauge disease activity and response to therapy, especially at the outset. However, a validated measure of disease activity has not been agreed (for clinical trial and treatment assessments). A new study compares two such activity measuresin a large cohort of Still's patients.
      Research presented in the Journal of Experimental Medicine shows that ANCA-associated vasculitis (AAV) may be propagated by pathogenic mechanisms triggering cGAS/STING/IRF3-dependent IFN-I release.
      A large UK database study suggests that young adults with autoimmune diseases have an associated increased risk for cardiovascular disease.
      The CDC has published an update to the recommendations from the Advisory Committee on Immunization Practices (ACIP) on the use of seasonal influenza vaccines in the United States for the 2022-23 season.
      Dr. Jack Cush delivers this weeks rheumatology "weather report" with the best and least of news and journal articles from the past week on RheumNow.com “Climate is what we expect, weather is what we get.” – Mark Twain
      This week's NEJM has published the efficacy results of a large phase 3 trial of olokizumab, a humanized monoclonal antibody that directly targets IL-6 in patients with rheumatoid arthritis. This is in contrast to two other marketed IL-6 inhibitors (sarilumab, tocilizumab) that bind to the IL-6 receptor.
      ×